ABOUT ME

-

Today
-
Yesterday
-
Total
-
  • 사랑니 발치 후 주의사항 6가지
    카테고리 없음 2020. 10. 1. 19:43

     

    사랑니 발치 후 주의사항 6가지 

     



    사랑니를 빼보신 분이라면 치료 후 관리의 중요성에 대해 잘 아실 텐데요. 사랑니를 빼기 전에도 고통스럽지만 빼고 난 후에도 아물기 전까지는 잘 관리하는 것이 좋습니다. 보통 사춘기 이후 사랑니가 잘 난다고 하는데요. 이 시기는 이성에 대해 호기심이 많을 때라 ‘사랑니’라고 부르기 시작했다고 합니다.

     



    오늘은 사랑니 발치 후 주의사항에 대해 해야 할 것과 하지 말아야 할 것으로 나누어 살펴보도록 하겠습니다. 


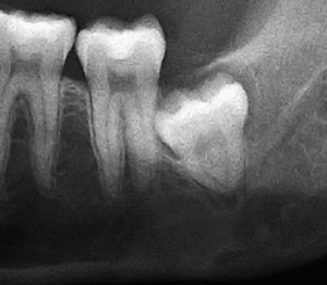
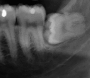
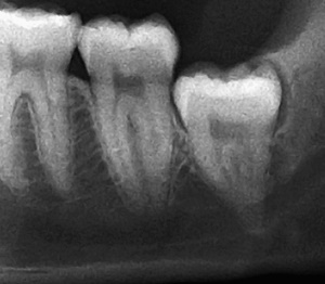
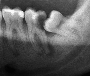
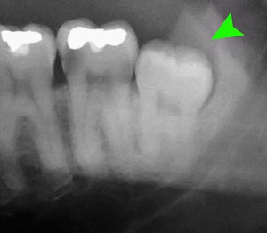
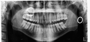
    사랑니란?


    우리가 사랑니라고 부르는 것은 큰 어금니 중 세 번째 위치에서 제일 마지막에 나오는 치아입니다. 사랑니가 나올 때에는 첫사랑을 하듯이 아프다고 하여 붙여진 이름이라고 하는데요. 다른 이름으로는 ‘지치’라고 합니다. 지치는 사리를 분별할 수 있는 지혜가 생긴다는 뜻입니다.

     

     



    사랑니는 보통 큰 어금니와 비슷하게 생겼습니다. 사랑니의 형태나 크기는 매우 다양하다고 하는데요. 보통의 어금니 보다 깊이 나기 때문에 빼기 어렵거나 절개를 통해 힘들게 빼야 하는 경우가 많습니다. 원래 사랑니는 음식물을 갈아 내기 위한 용도라고 하는데요. 이것은 치아의 퇴화 현상이라고 생각하시는 분들도 많이 계십니다.


    사랑니 발치 후해야 할 것

     



    1. 휴식



    사랑니 발치 후 휴식을 취하는 것이 좋습니다. 일단 사랑니를 발치하면 시원한 기분이 들지만 최소 하루 정도는 운동을 삼가고 술과 담배를 삼가면서 활동을 하지 않는 것이 중요합니다. 또한 누워서 잠을 잘 때는 머리를 똑바로 세우는 것이 좋습니다. 

     


    2. 응고


    발치된 상처 부위가 응고되어야 합니다. 시술 후 치과에서 거즈를 대어 줄 것입니다. 거즈를 물린 후 적어도 한 시간 동안은 그대로 거즈를 물고 계시는 것이 좋습니다. 이러한 행위는 상처를 압력하고 출혈을 막는 데 도움이 될 수 있습니다. 하지만 거즈 조각을 너무 씹지 않도록 해야 합니다. 출혈량이 많다면 최소 30분마다 거즈를 교환해 주어야 하지만 출혈이 너무 많을 경우 병원에 내원해야 할 수 있습니다.


    3. 얼음주머니 사용



    얼음은 상처 부위의 부기를 빼는데 효과적입니다. 단순 발치는 얼음주머니가 사용되지 않을 수 있으나 심한 형태의 사랑니를 빼내야 해야 할 경우 얼음주머니를 꼭 사용하는 것이 좋습니다. 이러한 부기는 2~3일 정도까지 유지될 수 있으니 최초 하루 정도는 얼음주머니를 꼭 사용해 부기를 조금 더 일찍 아물게 하는 것이 중요합니다.


    사랑니 발치 후 하지 말아야 할 것

     



    1. 흡연


    사랑니 발치 후 최소 2일은 흡연을 하지 않는 것이 좋습니다. 또한 딱딱한 음식을 삼가고 되도록 이면 부드러운 음식을 섭취하시는 것이 좋습니다. 예를 들어, 으깬감자, 밀크셰이크, 스무디, 수프, 죽 등의 음식이 적당할 수 있습니다.

     


    2. 식염수 사용


    식염수는 세균을 세척해 주기 때문에 사랑니 발치 이후에는 식염수를 사용하여 상처 부위를 소독해 주는 것이 좋습니다. 최소 12시간가량 식염수를 사용하여 입안을 헹구어 주시기 바랍니다.


    3. 처방된 약 복용


    사랑니 발치 후 처방받은 약을 올바르게 복용하셔야 합니다. 약을 건너뛰지 말아야 하며 진통제와 항염증제를 복용해야 2차 감염을 막을 수 있습니다. 

     



    이상으로 사랑니 발치 후 주의사항에 대해 알아보았습니다. 사랑니는 자연적인 것이지만 우리에게 필요하지 않는 퇴화된 치아라고 생각합니다. 치통을 참기보다는 가까운 시일 내에 치과를 방문하셔서 치료를 받는 것이 좋다고 생각합니다. 우리 몸에는 소중하지 않은 기관은 없습니다. 다만 통증이 없는 사랑니를 억지로 빼실 필요는 없다고 생각합니다. 오늘도 건강한 하루 보내시기 바랍니다. 

     

    반응형

    댓글

Designed by Tistory.